古い銀歯、気づかないうちに合わなくなっていませんか?
記事公開日:
最終更新日:
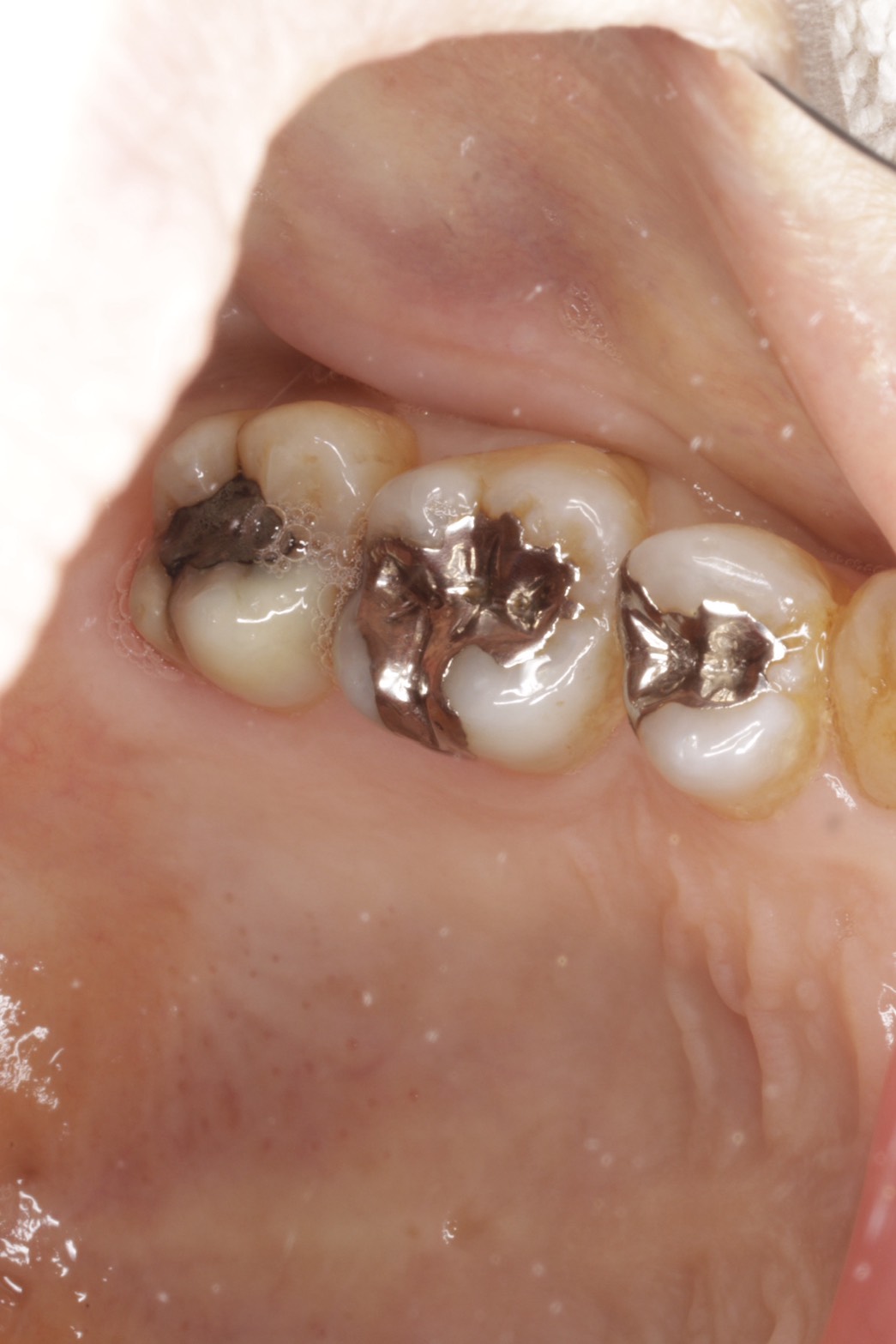
笑った時や会話をしている時、ふと見える「金属の詰め物」が気になったことはありませんか?
金属は硬くて丈夫な反面、経年劣化などによって適合が悪くなると、歯との間に隙間が生じて虫歯のリスクを高めてしまう恐れがあります。
また、最近では見た目の面でも「お口を開けた時に金属が見えるのが気になる」というご相談が増えています。

S 40222726 0
こんな症状に心当たりはありませんか?
- フロスが同じ場所でいつも引っかかる
- 特定の場所に物が挟まりやすい
もしかすると、その症状は金属の不適合(フィット感の低下)が原因かもしれません。適合が悪い状態を放置すると、その下が虫歯になるリスクがグッと上がってしまいます。

S 40222725 0
当院が考えているのは、単なる見た目の改善だけではありません。歯と修復物の間に隙間を作りにくいセラミック等の精密な素材を用いた治療を行い、お口の環境をよくすることです。
虫歯が再発・悪化する前に、精度の高い素材で整え直すことで、結果として将来的な抜歯リスクを抑え、ご自身の天然歯を末長く維持することに貢献できればと思います。
金属の詰め物や被せ物は、虫歯が大きくなる前であれば、神経を取ることなく白い詰め物へ変えることも可能です。
「金属が古くなってきて気になる」「自分では気づけないから検査して欲しい」という方は、ぜひ一度チェックにいらしてください。
金属のやり直しといった審美的なご相談はもちろん、お口全体の健康維持に関するご相談も承っております。
一緒に、白くて健康な歯を目指しましょう!

