前歯の「黒い線」が気になる方!ブラックマージン解消法
記事公開日:
最終更新日:
こんにちは!芝公園・三田SACHIデンタルクリニックです。
鏡を見た時や、ニコッと笑った時、古い被せ物の根元に「黒い線」が見えるのが気になる…という方はいらっしゃいませんか?
その黒い線の正体は「ブラックマージン」かも?
この黒い線は専門用語で「ブラックマージン」と呼ばれます。主な原因は以下の2つです。
1. 金属の露出: 保険診療などの金属を使用した被せ物(銀歯など)の金属部分が見えてしまっている。
2. 歯茎の下がり: 加齢や歯周病などで歯茎が下がり、被せ物と自前の歯の境界線が見えてしまっている。
「見た目が悪いだけだから…」と放っておくのは危険です。
適合が悪くなった隙間には汚れが溜まりやすく、二次虫歯(虫歯の再発)のリスクが非常に高くなります。
虫歯が進行すると歯の寿命を縮めてしまうため、早期の対応が重要です。
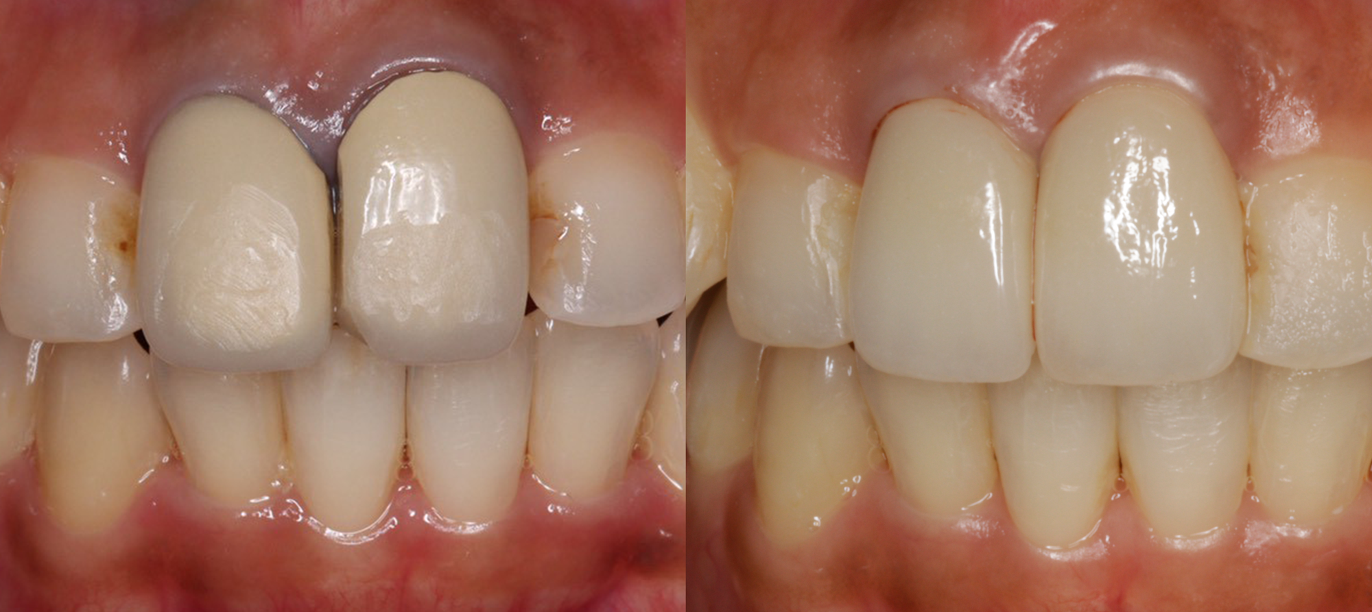
【症例】ジルコニアセラミックによる審美修復
先日、前歯2本の黒いラインをきれいにしたいと来院された患者様のケースをご紹介します。
(※患者様のご厚意により、掲載許可をいただいております)

治療内容: 古い被せ物を除去し、根管治療を行い、その後、最新の「ジルコニアセラミック」を装着しました。
結果: 金属を一切使用しない(メタルフリー)治療により、天然の歯のような透明感と、黒い線のない美しい仕上がりになりました。
ジルコニアセラミックとは?
「ダイヤモンドの代わり」としても知られるジルコニアは、審美性(見た目の美しさ)と強度(壊れにくさ)の両方に優れた素材です。
汚れがつきにくく、変色もしにくいため、長く美しさを保つことができます。
※素材の詳しい特徴については、次回のコラムで詳しく解説しますのでお楽しみに!
お口のお悩み、お気軽にご相談ください
詰め物や被せ物の見た目、違和感が気になる方は、ぜひ一度当院へご相談にいらしてください。一人ひとりの状態に合わせた最適な治療法をご提案いたします。
芝公園・三田SACHIデンタルクリニック

